unleash your Brighter Smile
3 simple steps of teeth whitening
- Initial Consultation & shade matching
- Covering gums & Applying Gel
- Light Whitespeed Session
Schedule Your Teeth Whitening Appointment Today!
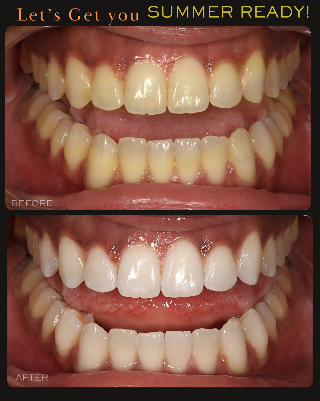
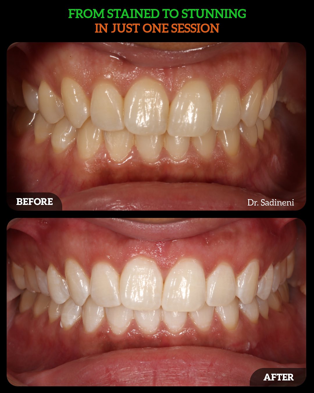
Philips Zoom is a professional dental whitening system that effectively lightens tooth enamel, removing discoloration caused by coffee, tea, wine, smoking, aging, or medication. Unlike over-the-counter products, Philips Zoom in Dublin and Columbus, OH delivers faster, more dramatic results with a safe, dentist-supervised process.
Why Professional Whitening is Better Than Over-the-Counter Products
At Dublin Metro Dental, we use Philips Zoom to give patients a safe, effective, and long-lasting whitening experience.
Why Choose Philips Zoom at Dublin Metro Dental?















The beauty of professional whitening is that theres no waiting period, in about an hour, you have a brand new smile and a mini makeover, which is perfect for people with busy schedules and who need quick results.
Professional teeth whitening in Dublin and Columbus, OH uses dentist-supervised bleaching agents to remove stains and discoloration from the enamel. This treatment is more effective than over-the-counter products and delivers faster, noticeable results.
With proper oral hygiene and avoiding staining foods or drinks, professional teeth whitening in Dublin and Columbus, OH can last several months to a few years. Touch-up treatments may extend the brightness of your smile.
Yes. Teeth whitening performed by a licensed dentist in Dublin or Columbus, OH is safe and carefully monitored to protect enamel and minimize sensitivity while producing a bright, natural-looking smile.
Temporary sensitivity is possible during or after whitening in Dublin and Columbus, OH. This is usually mild and short-lived, and your dentist can recommend desensitizing treatments if needed.
While professional teeth whitening is effective for most surface stains in Dublin and Columbus, OH, deep discoloration may require additional cosmetic treatments like veneers or bonding for optimal results.
Teeth whitening is considered a cosmetic procedure in Dublin and Columbus, OH and is typically not covered by insurance. Many local dental offices offer flexible financing options for whitening treatments.
We are grateful for all the love and support given to us throughout the years since 2008! We believe our success is an outcome of the trust shown in our team by local community of columbus.