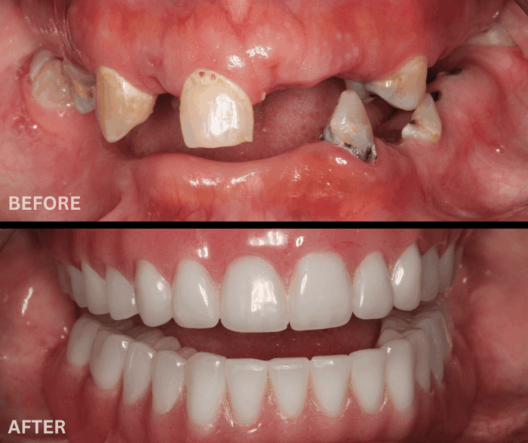
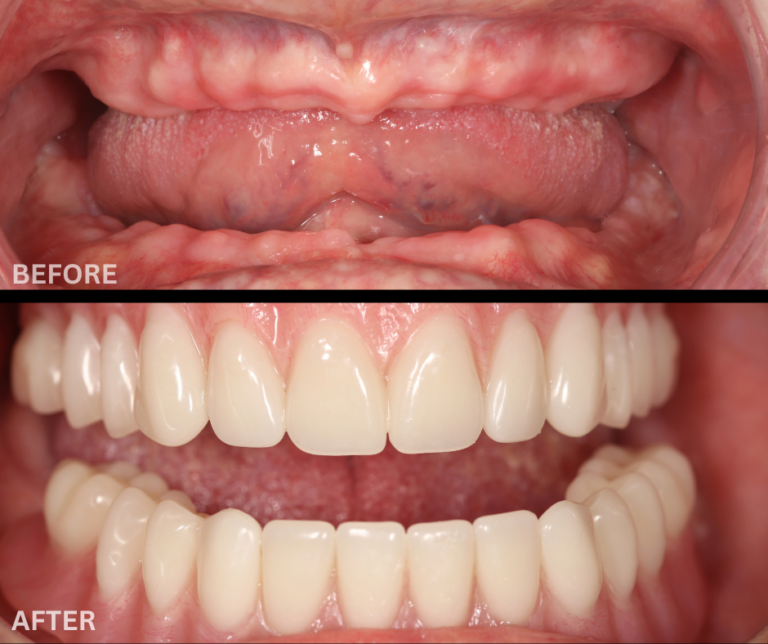
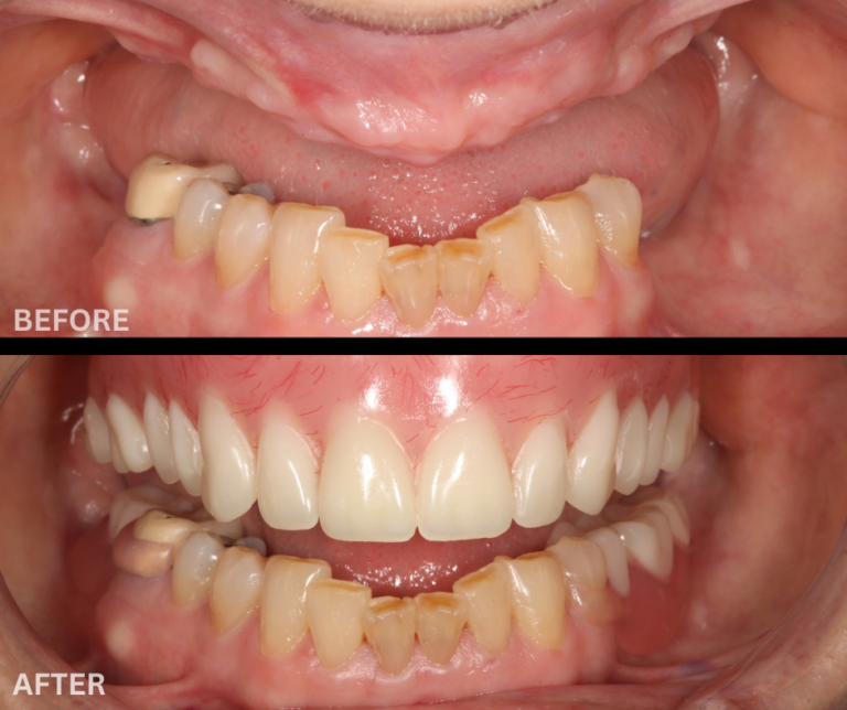
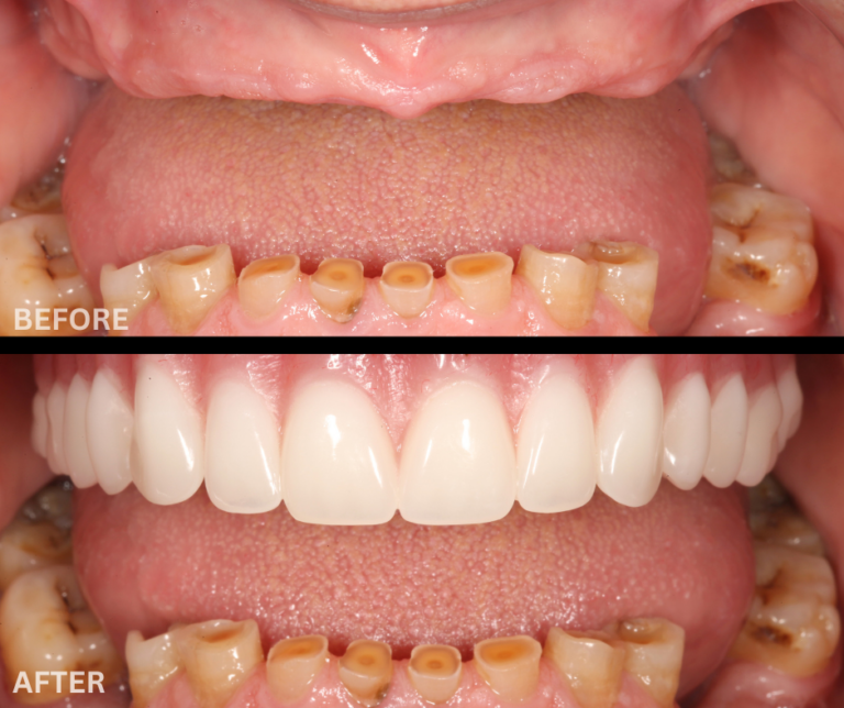
Dentures are removable dental appliances that replace missing teeth and surrounding gum tissue. They improve your ability to eat, speak, and smile confidently while supporting facial structure.
At Dublin Metro Dental, we create dentures that look natural, fit comfortably, and are tailored to your unique dental needs.
REMOVE BACKGROUND OF PHOTOS AND KEEP AS TEETH ONLY WITHOUT WHITE BACKGROUND.
Full dentures replace all teeth in the upper or lower arch for patients who are completely edentulous (missing all teeth). They are custom-made to restore function and aesthetics.
Partial dentures replace one or more missing teeth while preserving your remaining natural teeth. They are anchored to adjacent teeth using clasps or precision attachments.
Immediate dentures are placed on the same day your teeth are removed. They allow you to leave the dental office with a complete smile, though adjustments may be needed as gums heal.
Implant-supported dentures in Dublin and Columbus, OH provide superior stability by anchoring the denture to dental implants. This option prevents slipping and improves chewing ability.


















If you are missing teeth, dentures at Dublin Metro Dental can restore your smile and confidence.
Call or request an appointment online today to find the perfect denture solution for you!