SINGLE DENTAL IMPLANTS

Schedule Your Single Dental Implants Consultation

Single Dental Implant

A single dental implant is the most natural and long-lasting way to replace one missing tooth. At Dublin Metro Dental, we offer advanced single tooth dental implant treatment to restore your smile’s appearance, function, and health—without affecting nearby teeth.

Benefits of a Single Dental Implant

With proper care, a single dental implant can last many years or even a lifetime.

When Is a Single Dental Implant Needed?

A single dental implant may be recommended if you:

fardowsa's smile with Implant by Dr. Sadineni

patient concern: decaying & missing teeth with old crowns failing

fardowsa's smile with Implant by Dr. Sadineni

patient concern: decaying & missing teeth with old crowns failing

Edward's smile with Implant by Dr. Sadineni

patient concern: decaying & missing teeth with old crowns failing

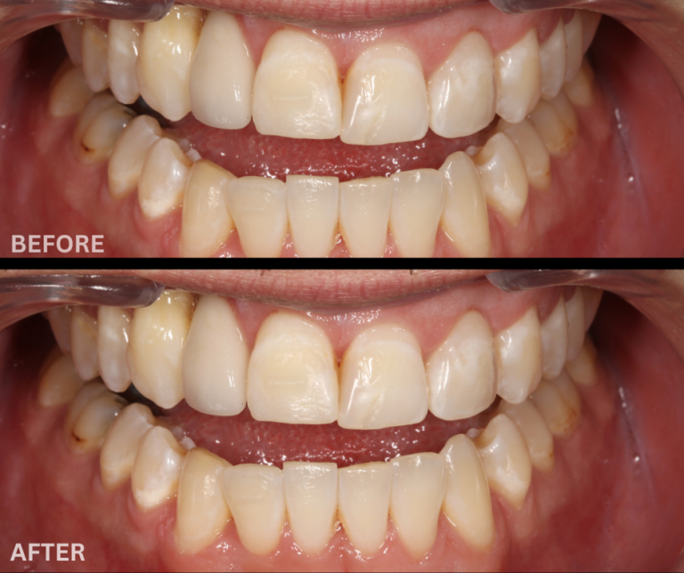
Grazyna's smile with Implant + Crown + Veneers by Dr. Sadineni

patient concern: decaying & missing teeth with old crowns failing

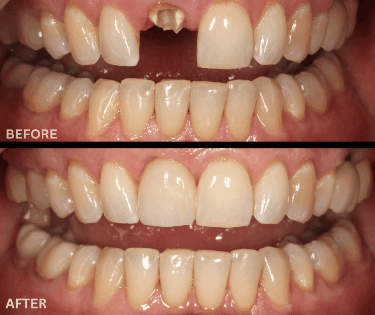
Abdal Gets his Confidence back!

patient concern: Missing front tooth

Amy Restores her smile with Implants by Dr. Sadineni

patient concern: Missing front tooth

Single Dental Implant – FAQs

A single dental implant in Dublin and Columbus, OH replaces one missing tooth without affecting adjacent teeth. It consists of a titanium implant post, an abutment, and a custom crown, providing a natural-looking and permanent solution for missing teeth.
The full single dental implant process in Dublin and Columbus, OH typically takes several months, including healing time after implant placement. Your dentist will evaluate your bone health and schedule appointments for optimal results.
Yes. Single dental implants in Dublin and Columbus, OH are custom-made to match your existing teeth in color, shape, and size, blending seamlessly for a natural, confident smile.
The procedure is generally comfortable. Local anesthesia and sedation options are available in Dublin and Columbus, OH dental offices, and most patients experience only mild soreness during the healing period.
Implant failure is rare when performed by an experienced dentist in Dublin or Columbus, OH. Proper planning, healthy bone, and good oral hygiene significantly increase long-term success.
Yes. A single dental implant in Dublin or Columbus preserves surrounding teeth, prevents bone loss, and offers a more permanent and stable solution compared to a traditional dental bridge.

Request an Appointment