Black Triangles Between Teeth Making you Conscious?

TOP COSMETIC DENTIST IN COLUMBUS OHIO

Learn with us

What are Black Triangles?

Black triangles are small, dark, triangular gaps that can appear between teeth near the gum line. They’re also called open gingival embrasures and are a common concern in cosmetic dentistry—especially for adults.

How can black triangles be treated?

Are black triangles a problem?

Why do black triangles happen?

Anthony's Smile Journey at Dublin Metro Dental

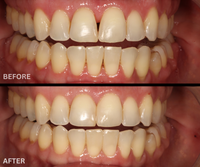
Patient concern: Chipping, crowding, yellow teeth, discoloration

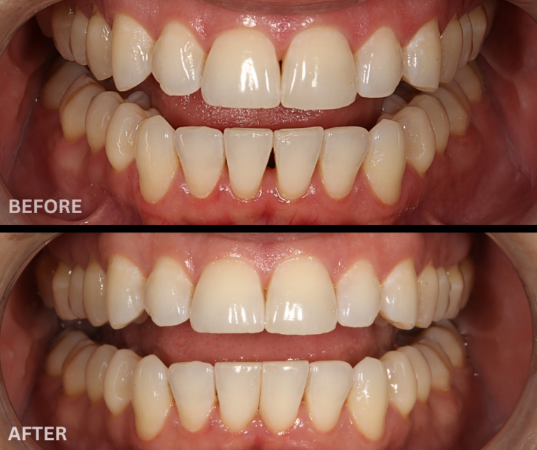
Chris's Smile Journey at Dublin Metro Dental

patient concern: Black triangles on upper and lower teeth - food got stuck

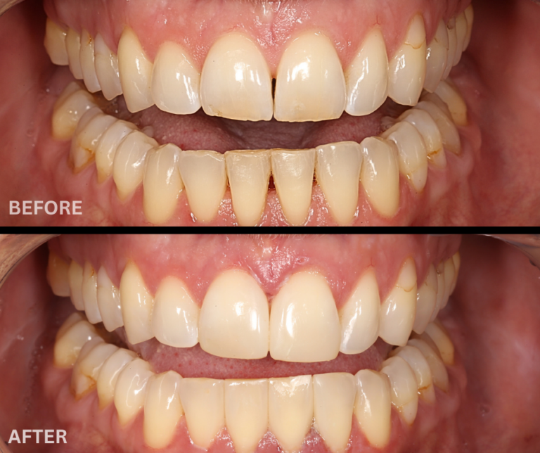
Danielle's Smile Journey at Dublin Metro Dental

patient concern: Black triangles on upper and lower teeth - food got stuck

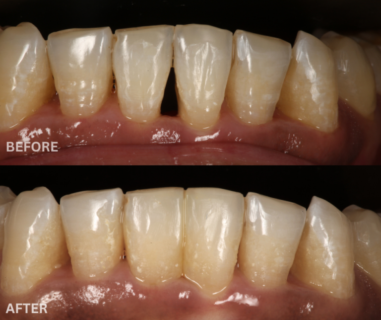
Eleanor's Smile Journey at Dublin Metro Dental

patient concern: Black triangles on upper teeth - food got stuck

Prasan's Smile Journey at Dublin Metro Dental

patient concern: Black triangles on Lower teeth - food got stuck

Williams's Smile Journey at Dublin Metro Dental

patient concern: Black triangles on Upper front & side teeth - food got stuck

Common FAQ About Black Triangles

1. What are black triangles between teeth?

Black triangles are small dark gaps that appear near the gum line between teeth. They are also called open gingival embrasures and often become noticeable when teeth are straightened.

2. What causes black triangles?

Common causes include gum recession, bone loss, aging, tooth shape, and orthodontic treatment such as Invisalign or braces where teeth move but gums don’t fully fill the space.

3. Are black triangles harmful?

Black triangles are usually not harmful, but they can trap food and plaque, increase the risk of gum disease, and affect the appearance of your smile.

4. Do black triangles appear after Invisalign?

Yes, black triangles can appear after Invisalign or braces. Straightening teeth may reveal existing bone or gum loss that was previously hidden by crowding.

5. Can black triangles be fixed without surgery?

In many cases, yes. Treatments may include Invisalign refinements, composite bonding, or cosmetic reshaping to close or minimize the gaps.

. How do I know which treatment is right for my black triangles?

The best treatment depends on the cause, size of the gap, and your smile goals. A dental evaluation is needed to determine whether Invisalign, bonding, veneers, or gum treatment is best.

Request an Appointment